老人手术时导丝断裂掉进血管 医院:外科取出意义不大,补偿8000元
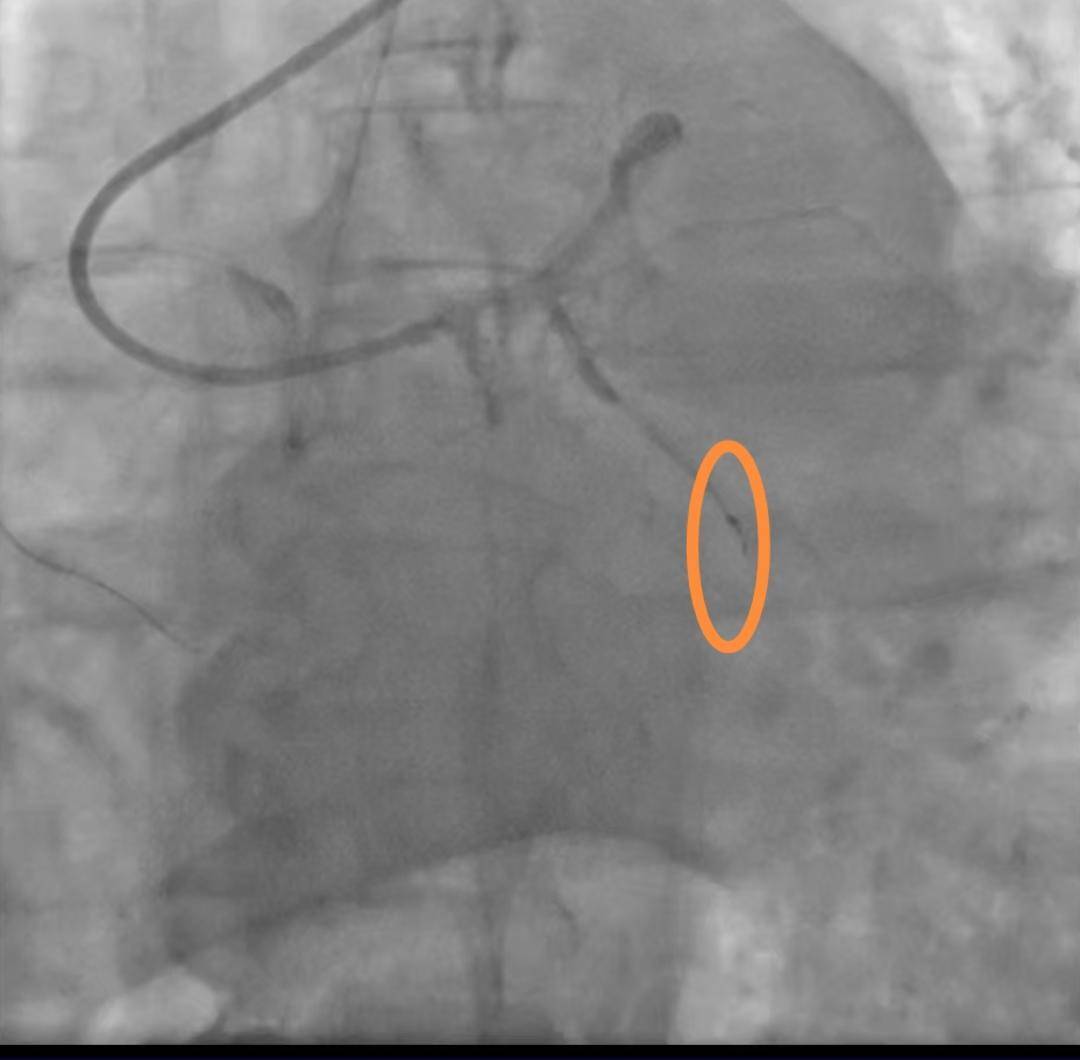
封面新闻记者 石伟 9月28日,河南汝州的高女士反映,她的父亲在河南省胸科医院手术时,手术用的导丝末端断裂,一截2厘米左右的导丝被遗留在血管中。 断裂的导丝(...
封面新闻记者 石伟 9月28日,河南汝州的高女士反映,她的父亲在河南省胸科医院手术时,手术用的导丝末端断裂,一截2厘米左右的导丝被遗留在血管中。 断裂的导丝(...
8月16日,设计师女装品牌TWOI在上海开出首店。开业当天,有部分新品发售,吸引不少喜欢该品牌的消费者前往,还有人特地从外地赶来逛上海首店。...
电池膨胀力是如何测试的,作为公司小编,把所了解的与你分享,并解析电池膨胀力(充放电过程中因内部产气或材料形变施加于电池外壳的力)的测试技术: 1. 核心传感元件...